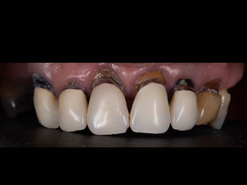
All on 4 – Slučaj 3

Nalazite se ovdje:
Idi na vrh